Get The Smile You Deserve
From A Team You Can Trust.

Trusted Care. Life-Changing Smiles.

From Implants to Whitening,
Your Best Smile Starts Here

At Broadway Smile Boutique, we know that every smile has its own story—and we’re here to help you make yours shine. From the moment you walk through our doors, our caring team is dedicated to making your experience comfortable, personalized, and focused on your unique goals.

Whether you need the lasting strength of dental implants, the natural look of veneers and crowns, or a brighter smile through professional whitening, Dr. David Shrinian offers advanced, minimally invasive treatments designed to restore both beauty and function. With a full range of cosmetic options available in one convenient location, achieving the confident smile you’ve always wanted has never been easier.

Your Destination For Exceptional Smiles

At Broadway Smile Boutique, we don’t just care for teeth—we create confident, radiant smiles that change lives. Whether you’re looking for subtle enhancements or a dramatic makeover, our team combines artistry and advanced dentistry to design a smile that’s uniquely yours.

Our comprehensive smile makeover services include:

From the first consultation to your final reveal, we deliver personalized care and exceptional results—all under one roof.

Crafting Beautiful Smiles, One Treatment at a Time

Dental implants are a permanent solution for replacing missing teeth, designed to look, feel, and function like your natural teeth. They help preserve your jawbone, restore chewing ability, and give you the confidence of a strong, lasting smile.

Crowns are custom-made caps placed over damaged or weakened teeth to restore strength, shape, and function. They also improve appearance, blending seamlessly with your natural teeth for a healthier, more attractive smile.

Veneers are thin, porcelain shells that cover the front of your teeth to instantly enhance their shape, color, and alignment. They’re a popular choice for creating a brighter, more uniform smile with long-lasting results.

Bonding is a quick and affordable treatment that repairs chips, cracks, gaps, or discoloration using tooth-colored resin. It’s a simple way to improve your smile’s appearance in just one visit.

Bridges replace one or more missing teeth by anchoring to the surrounding natural teeth or implants. They restore function, improve your bite, and prevent shifting, all while giving you a complete and natural-looking smile.

Professional whitening treatments safely remove stains and discoloration caused by food, drinks, or aging. With just one session, you can enjoy a noticeably brighter, more confident smile.

Ready For A Stunning Smile?

Book your cosmetic dentistry appointment today and keep your teeth in top shape. Our friendly team is here to provide personalized care for a brighter, healthier smile!

Your Dream Smile Starts Here

From subtle enhancements to full smile makeovers, our team is dedicated to helping you look and feel your best. At Broadway Smile Boutique, we take the time to understand your unique goals, offering personalized treatments in a comfortable, judgment-free environment. Whether you’re interested in teeth whitening, veneers, or dental implants, we’re here to guide you every step of the way.

And now, when you schedule your consultation, you’ll be automatically entered into our Rolex Giveaway—your chance to win a timeless luxury while transforming your smile.

Schedule your cosmetic consultation today and take the first step toward a radiant, confident smile you’ll love to share.

To Speak With one of our cosmetic dentistry experts call now!

Empower Your Smile!

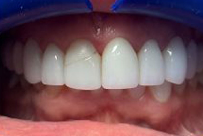
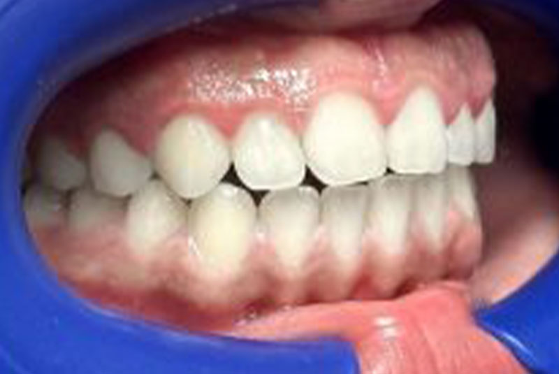
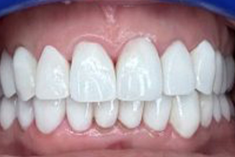
Before After
Before After
Before After
Dentist in Glendale, CA
# 1

Meet Dr. David Shrinian

Dr. David Shirinian is a Southern California native who obtained his license to practice from the prestigious University of Southern California (USC) School of Dentistry. He graduated amongst the top of his class. During his career, he established himself to earn a Fellowship in the American Academy of Implant Dentistry, and a Fellowship in the International Congress of Oral Implantologists. He is also an active member of the American Academy of Cosmetic Dentistry.

Dr. David Shirinian has a passion for dentistry that was instilled at a young age. He truly enjoys it because it gives him an opportunity to give back to the world by turning frowns upside down using the latest and greatest dental techniques. He truly enjoys the challenge presented that each individual brings to the table – as we are all unique.

Superior Treatments ... Better Results ... at the Best Price!

Superior Treatments ...
Better Results ...
at the Best Price!

Our Patients tell the story best

Our Patients tell
the story best

Glendale, CA

Free Consultation:
(747) 758-4337

Address:
1100 E Broadway #302,
Glendale, CA 91205

Office Hours:
Monday 10 AM–6 PM
Tuesday 10 AM–6 PM
Wednesday 10 AM–6 PM
Thursday 10 AM–6 PM
Friday 10 AM–6 PM
Saturday & Sunday Closed

Start Your Smile Transformation Today

Schedule your consultation in minutes and see what your new smile could look like. Our expert team will guide you through every step of your smile transformation. It’s fast, simple, and designed to fit your schedule

Limited Time Giveaway!

Transform Your Smile.
Elevate Your Style.

Win A Rolex 2025 36mm Wimbledon Datejust Two-tone Oystersteel and Everose gold Oyster band.

Limited entry until November 16th for the first 15 patients who schedule and start their Smile Makeover Journey by the end date. Full Smile Makeover procedure to be qualified. If you get top and bottom done, you will qualify for 2 entries. Like, follow, and comment on our social media posts to increase your chances.